Implant Mallo works
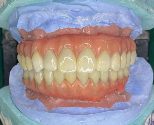
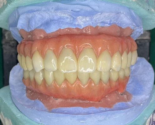
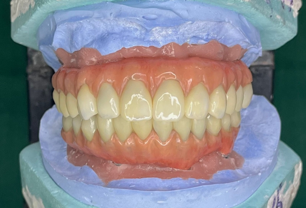
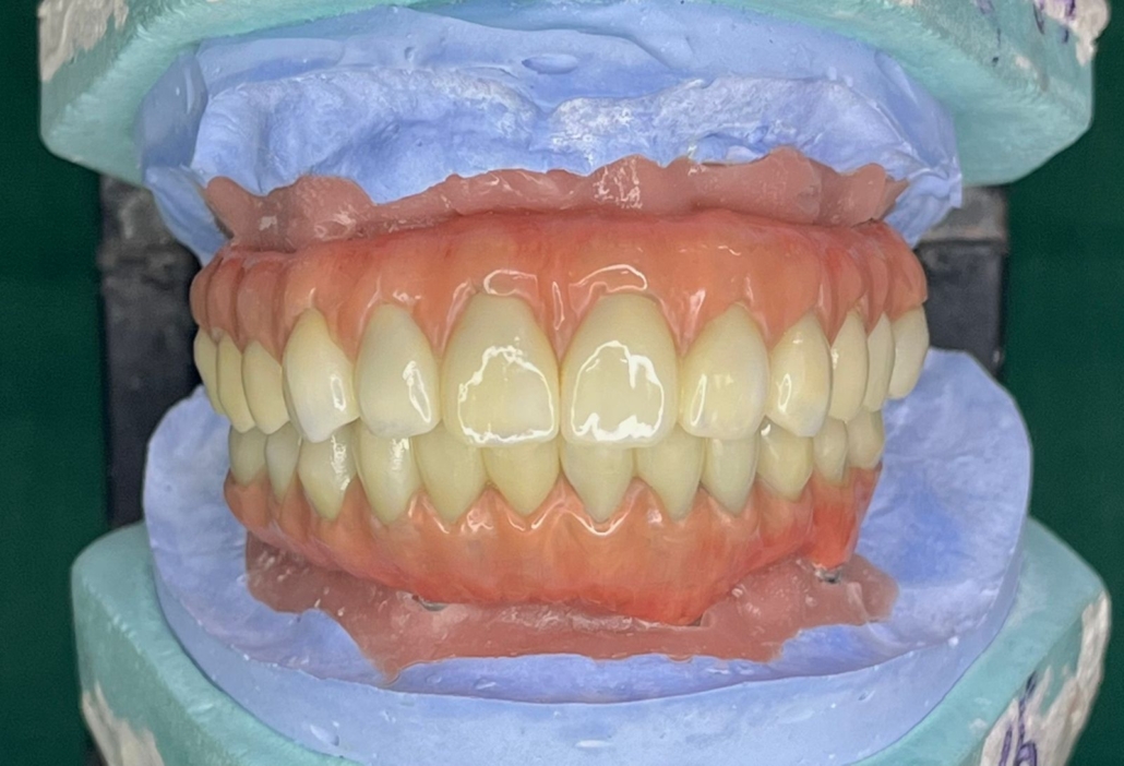
We specialize in Implant Mallo Works, providing innovative solutions for patients seeking to restore their smiles with precision and comfort. Implant Mallo, known for its versatility and stability, combines the advantages of dental implants with a streamlined design to support a variety of prosthetic options, ensuring an effective and aesthetically pleasing outcome.
Our Implant Mallo Works are designed to meet the specific needs of each patient, utilizing high-quality materials and advanced techniques. The system allows for the secure attachment of dentures or fixed prosthetics, delivering enhanced stability and functionality. This means patients can enjoy a natural-looking smile while experiencing improved comfort and confidence in their daily activities.
Our skilled technicians collaborate closely with dental professionals throughout the process to ensure that each Implant Mallo solution is tailored to the unique anatomical considerations of the patient. We prioritize meticulous planning and precision fabrication to deliver products that meet the highest standards of quality.
At Stains Dental Lab, we are committed to supporting dental practitioners with the resources and knowledge they need to provide exceptional care. Our team is dedicated to ongoing education and innovation, ensuring that we stay at the forefront of implant technology.
Whether you are a dental professional seeking reliable Implant Mallo solutions or a patient eager to regain your confidence with a secure and beautiful smile, Stains Dental Lab is here to assist you. Contact us today to learn more about our Implant Mallo Works and discover how we can help you achieve a successful and satisfying dental restoration!






